当前骨髓炎治疗中,实现感染控制与骨再生的时空协调颇具挑战,细菌诱导的酸性微环境及毒素介导的成骨细胞功能障碍是关键难题。传统策略如抗生素与支架结合,存在局部浓度不足、材料不可降解或药物突释致细胞毒性等问题。来自四川大学的李玉宝教授、邹琴副研究员团队合作,开发出3D打印壳聚糖基pH响应双功能支架VM@n-HA/CS/DM。该支架通过希夫碱键将载万古霉素壳聚糖微球(VM)结合于支架表面,酸性环境下选择性释放药物靶向杀灭金黄色葡萄球菌,同时支架基质中分散的载双氯芬酸壳聚糖微球(DM)持续释放抑制毒素表达、保护成骨细胞,其分层多孔结构兼顾营养运输与机械强度。相关工作以《A
3D-printed chitosan-based pH-responsive dual functional scaffold for
osteomyelitis: synergistic antibacterial and osteogenic
treatment》为题发表在《Carbohydrate Polymers》上。
研究内容
通过水-油乳化法制备载药微球,结合3D打印技术与范醛交联工艺,研究VM@n-HA/CS/DM支架的构建流程及治疗机制,结果表明该支架通过pH敏感希夫碱键连接VM至表面,DM分散于基质中,可在酸性环境释放万古霉素杀菌,同时持续释放双氯芬酸保护成骨细胞。

通过钻孔植入金黄色葡萄球菌与鱼肝油酸钠,构建感染模型后清创并植入不同支架,研究支架在体内的治疗效果,结果表明VM@n-HA/CS/DM组术后4周骨缺损修复最佳,皮质骨光滑且骨小梁连续。

通过扫描电镜、激光粒度仪、红外光谱等手段,研究VM和DM的形貌、粒径、化学结构及 swelling 行为,结果表明VM表面光滑、DM含药物结晶,微球在pH6.0环境 swelling 率更高,成功负载药物且结构稳定。

通过流变学分析、扫描电镜、压缩测试及降解实验,研究支架的打印适性、微观结构、机械强度及降解行为,结果表明支架具剪切稀化特性,孔隙率约58%,VM@n-HA/CS组弹性模量达8.82MPa,pH6.0环境降解更快。

通过将VM@n-HA/CS支架置于不同pH PBS及细菌悬液中,研究VM的释放行为,结果表明pH6.0和细菌悬液中VM释放量显著高于pH7.4,2小时释放率分别达41.30%和45.22%。

通过透析法测定万古霉素释放曲线,结合抑菌环实验,研究VM在不同pH下的释药规律及杀菌能力,结果表明pH6.0时14天累计释放52.58%,抑菌环直径达12.21mm,酸性环境释药更快且抗菌效果更强。

通过扫描电镜和透射电镜观察细菌与微球的相互作用,研究VM的抗菌机制,结果表明VM通过静电作用吸附细菌,导致细菌膜破裂、细胞质泄漏,而单纯壳聚糖微球仅吸附细菌不杀菌。

通过透析法测定双氯芬酸释放曲线,结合细胞共培养实验,研究DM的释药特性及对成骨细胞的保护效果,结果表明pH7.4时14天释放53.68%,高浓度双氯芬酸可使成骨细胞维持正常形态,存活率显著提升。

通过Micro-CT扫描胫骨样本,定量分析骨体积和骨密度,研究不同支架的骨再生效果,结果表明VM@n-HA/CS/DM组骨密度达878.15mg HA/cm³,虽骨体积较低但结构更致密,修复效果最佳。

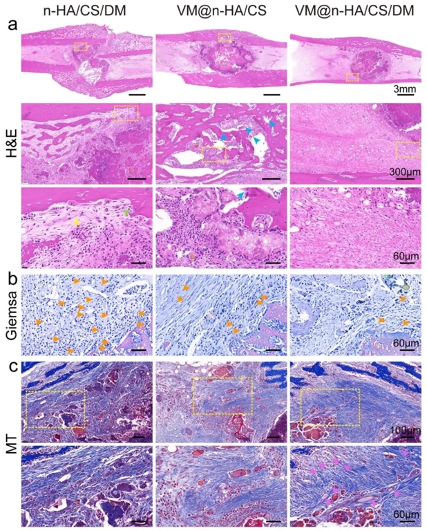
通过H&E、Giemsa和Masson染色,观察骨组织炎症细胞浸润、细菌残留及胶原沉积,研究支架的抗菌与成骨能力,结果表明VM@n-HA/CS/DM组炎症细胞少、无细菌残留,胶原纤维排列整齐,新骨生成显著。

研究结论
本研究开发了一种3D打印的pH响应性双药负载骨修复支架(VM@n-HA/CS/DM),通过时空分级释药逻辑,同步解决骨髓炎治疗中感染控制与骨再生的双重挑战。该支架通过pH敏感的希夫碱键将VM接枝于表面,在细菌感染的酸性微环境中精准释放抗生素,实现靶向杀菌;同时,基质中封装的DM通过控释机制持续中和细菌毒素,保护成骨细胞并增强其成骨能力。体外和体内研究证实,该支架能有效抑制感染复发,增强成骨细胞活性,促进骨再生。此支架建立了精准控释、时序协同释药和结构适配的骨髓炎治疗新范式,展现出良好的临床转化潜力。
文章来源:
https://doi.org/10.1016/j.carbpol.2025.123866

0 留言